当前位置:肿瘤瞭望>资讯>快讯>正文

PARP学院│奥拉帕利治疗一例ER低表达、BRCA2突变的转移性三阴性乳腺癌

作者:肿瘤瞭望   日期:2018/8/8 10:53:24  浏览量:33090

肿瘤瞭望版权所有,谢绝任何形式转载,侵犯版权者必予法律追究。

肿瘤瞭望:PARP抑制剂(PARPi)在ASCO等各大肿瘤学会议频频亮相、十分吸睛;奥拉帕利短期内取得FDA的顺利批准及NCCN指南的权威推荐。他山之石,可以攻玉。在PARPi进入临床实践之际,我们希望通过真实世界的病例来分享PARPi的实战经验。

本期“PARP学院”与您分享奥拉帕利治疗一例ER低表达、BRCA2突变的转移性三阴性乳腺癌。
 
病历摘要
 
青年女性,34岁;主因“发现左乳肿物3月余”于2014-06就诊我院。
 
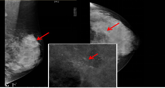
2014-03发现左乳肿物,无伴疼痛、乳头溢液。未予特殊处理。2014-06门诊行乳腺彩超及钼靶提示左乳实性占位性病变伴钙化,BIRADS分类:4C。
 
既往史无特殊。无乳腺癌、卵巢癌家族史。
 
辅助检查
 
乳腺彩超:左乳外上象限2个肿物;大小分别 约12.9*10.8mm及25.8*20mm;边界不清,锯齿状,内部回声不均,可见血流信号,后方回声衰减;BIRADS分类:4C;左腋窝淋巴结肿大。
 
 
乳腺钼靶:左乳外上象限肿物,伴“簇状钙化”。BIRADS分类:4类。
 
 
治疗经过
 
初诊治疗
 
2014-06-17 行左乳癌保乳根治术+左腋窝LN清扫术。术后病理:浸润性导管癌Ⅲ级;φ 3.5*2.3cm;φ 1.8*1.4cm;脉管癌栓(+);LN(0/13);ER(-)、PR(-)、HER2(-)、ki-67 35%+、HER2 FISH(-)。病理分期:pT2N0M0,IIA期,三阴型。
 
2014-07~2014-12 化疗(表柔比星 160mg + CTX 1.0g,序贯多西他赛160mg)及胸壁放疗。
 
复发转移(DFS :15个月)
 
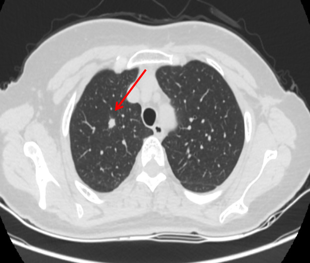
2015-09乳腺超声提示左腋窝淋巴结转移;穿刺病理为浸润性导管癌;胸部CT示左腋窝淋巴结转移,右肺上叶间尖段、左肺下叶前基底段多发转移。上腹CT及骨扫描未见异常。
 
 
 
2015-09-14 行左腋窝淋巴结清扫术+左胸上、胸背神经探查术+左腋静脉探查术。术后病理:左腋窝、胸大小肌间淋巴结转移癌,周围脂肪组织癌巢浸润;ER 10%弱阳性、PR 1% (+)、HER2(1+)、ki67 40%、HER2 FISH(-)。
 
诊断:左乳癌术后区域复发、肺多发转移(IV期,luminal B型?)  
 
阶段小结
 
患者青年女性,34岁发病。原发灶病理类型为三阴性乳腺癌。DFS 15个月时出现内脏转移;而复发转移灶病理可见激素受体低表达(ER 10%弱阳性、PR 1%)。有研究提示大部分ER低表达(1-10%)乳腺癌的内生亚型为Basal like或HER2过表达;且大约90%的BRCA1突变携带者表现为TNBC或Basal like,10~17%的Basal like乳腺癌病人携带BRCA1胚系突变。
 
因此,该病人下一步需考虑两方面问题。一是选择化疗或内分泌治疗,研究表明内生亚型倾向Basal like 的肿瘤对内分泌治疗不敏感;而基于CBCSG 006和TNT等临床研究结果,国内外指南均推荐含铂方案用于晚期TNBC治疗。二是尽可能完善基因突变检测,Basal like、TNBC和BRCA突变存在交集,且患者符合NCCN指南BRCA检测准入标准(①≤45岁,③≤60岁的TNBC),故可完善BRCA检测以指导诊疗。
 
后续诊疗过程
 
患者进一步完善检测BRCA、HER2、KRAS、ATM等基因突变检测,结果提示BRCA2和ATM阳性。Ⅲ期临床研究OlympiAD证实奥拉帕利在gBRCA突变MBC患者治疗中优于化疗,奥拉帕利已获FDA批准及NCCN指南推荐。本病例符合此类适应症人群,2016年11月开始应用单药奥拉帕利(400mg bid,因呕吐调整剂量为300mg bid)治疗,四线PFS达7个月(2016年11月~2017年7月)。
 
 
 
徐兵河教授点评
 
TNBC约占所有类型乳腺癌的10-15%,预后明显差于Luminal型和HER2阳性型,晚期TNBC的平均生存约为1~2年。TNBC是免疫组化定义的“ER-、PR-、HER2-”,因为缺乏有效治疗靶点,细胞毒化疗仍是主要的治疗模式。
 
随着分子时代的到来,发现TNBC存在很多分子亚型,根据不同分子亚型采取不同的治疗策略,有可能取得更好的疗效。现有的研究发现,携带BRCA1/2突变的TNBC,对铂类化疗敏感,PARP抑制剂奥拉帕尼比医生选择的单药化疗(长春瑞滨、卡培他滨、艾立布林)的疗效更高,但尚缺乏奥拉帕利与铂类药物头对头的随机分组临床试验结果。铂类药物成为治疗标准还需要更多循证医学证据的支持。
 
作者简介
 
汪颖
 
医学博士,中山大学孙逸仙纪念医院乳腺肿瘤中心党支部书记,主治医师;主要研究方向为乳腺癌基础与临床。ASCO、ESMO、CSCO会员,广东省医院协会肿瘤防治管理专业委员会委员,广东省药学会专家委员会委员,广东省中医药学会乳腺病健康管理专业委员会委员。主持和参与国家自然科学基金3项,2017年获得美国ASCO大会的海报展出,第一作者发表SCI等论文10篇。

本内容仅供医学专业人士参考


奥拉帕利

分享到: 更多

相关幻灯