当前位置:肿瘤瞭望>资讯>正文

“曲”径通“优”,明效大验丨一例获pCR的HER2+炎性乳腺癌的病例分享

作者:肿瘤瞭望   日期:2022/9/26 10:18:50  浏览量:12755

肿瘤瞭望版权所有,谢绝任何形式转载,侵犯版权者必予法律追究。

2020年全球肿瘤流行病统计数据(GLOBOCAN 2020)显示,乳腺癌已超越肺癌成为全球新发病例数最高的癌症类型,中国女性乳腺癌的发病人数及死亡人数均居世界首位

▌病例作者:王楠 郑州大学第一附属医院
▌点评专家:尤伟 河南省人民医院
 
摘要
 
2020年全球肿瘤流行病统计数据(GLOBOCAN 2020)显示,乳腺癌已超越肺癌成为全球新发病例数最高的癌症类型,中国女性乳腺癌的发病人数及死亡人数均居世界首位1,2。HER2阳性乳腺癌大约占所有乳腺癌类型的15~20%,侵袭性更强,更易发生转移3,是新辅助治疗的重点人群之一。随着乳腺癌诊疗方法的不断发展,新辅助治疗的目的已不再仅仅是为患者后续的局部治疗创造有利条件,而是为获得患者全身治疗的药敏信息及病理缓解情况从而为其制定后续治疗方案。抗HER2单抗(“H”)为2022年CSCO指南中HER2阳性乳腺癌新辅助治疗方案的各级推荐中的基础用药4。“H”包括:曲妥珠单抗及其生物类似药、伊尼妥单抗。汉曲优®为国内首个上市的曲妥珠单抗生物类似药,不仅疗效与原研药相同,且具备无防腐剂、相对价廉的优点,临床应用中患者选择度更高。本文通过一例在接受4疗程化疗联合以汉曲优为主的抗HER2治疗后,达到病理学完全缓解的HER2阳性炎性乳腺癌的病例,探讨了HER2阳性乳腺癌患者个体化治疗方案制定的重要意义。(注:本文中汉曲优为复宏汉霖研发生产的曲妥珠单抗)

病史简介
 
患者:任某,女,33岁,75kg。
 
至我科初次就诊时间:2022.05.20
 
主诉:发现左乳肿物3年,确诊左乳癌2月余。
 
既往史:无高血压、糖尿病等慢性病史。
 
婚育月经史:已婚,孕1产1,末次月经2022年05月20日。
 
家族史:否认乳腺癌及其它恶性肿瘤家族史。
 
现病史:2月前,患者以“发现左乳肿块3年”于当地医院就诊,行左乳肿块穿刺活检术。病理示:左乳浸润性癌,ER(-),PR(-),HER2(2+),Ki-67(30%+),未行FISH检测。于当地医院以“表柔比星+多西他赛”方案化疗2疗程后,肿物较前增大,为进一步诊治来我院。
 
体格检查:左乳稍大,皮肤水肿发红,呈橘皮征,乳头固定回缩。左乳乳头后方可及一肿物,约8cm×8cm大小,质硬,活动度差,边界欠清,无压痛。右乳外观正常,内未及明显肿块。左腋下可触及一枚肿大淋巴结,约2cm×2cm大小,质硬,活动度差,边界欠清,无压痛。右侧腋下及双锁骨上下未触及肿大淋巴结。
 
▌影像学检查:
 
2022-05-20乳腺MRI报告:双侧乳腺欠对称,左乳较大,左乳皮肤局限增厚,左乳上方象限病变可见明显强化,边界不清,大小约46mm×73mm×52mm(上下径×左右径×前后径),病变前缘距乳头约17mm,后缘距离胸壁约8mm。左侧腋窝淋巴结肿大,最大直径约13mm。
 
图1.患者入院乳腺磁共振可见左乳肿瘤病灶范围广、累及皮肤,符合炎性乳腺癌表现。
 
2022-05-21乳腺超声报告:左乳可见多处低回声结节,较大者位于12点钟,大小约47mm×27mm×35mm,距体表10mm,距乳头35mm,形态不规则,边缘成角,内回声不均匀。CDFI:内可及点状血流信号。左侧腋窝可见数个淋巴结回声,髓质消失,较大者大小约12mm×8mm,CDFI:内可见点状血流信号。右侧腋窝及双侧锁骨上窝未见明显肿大淋巴结。
 
图2.患者乳腺彩超可见肿瘤毛刺征明显,呈浸润性生长,腋窝淋巴结形态失常。
 
辅助检查:胸腹CT、头核磁、全身骨扫描未见明显异常。
 
病理会诊结果:(左乳穿刺活检)浸润性癌,非特殊型,组织学分级Ⅱ级;未见明确脉管癌栓及神经侵犯。免疫组化结果:CK5/6(-),P63(-),P120(膜+),E-cad(膜+),EMA(+),Muc-1(+),D2-40(-),CD31(-),ER(-),PR(-),AR(90%强+),HER2(4B5)(3+),EGFR(20%+,弱-中),P53(突变型),Ki-67(30%+)。
 
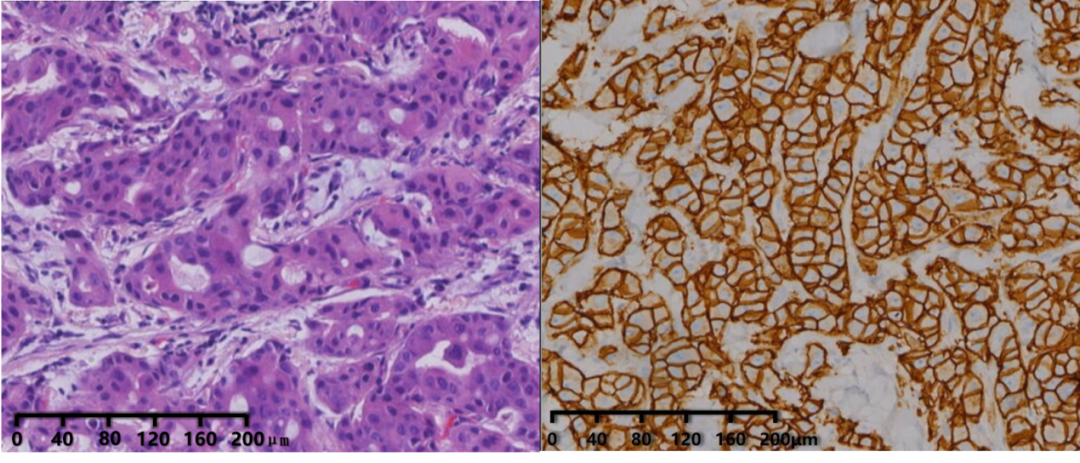
图3.我院病理会诊可见瘤床内间质成分少,癌细胞丰富,且HER2蛋白免疫组化染色可见大多数胞膜呈现完整的强着色,比例明显超过30%,符合HER2 3+诊断标准。
 
初步诊断:左乳浸润性癌,cT4N2M0ⅢB期,HER2阳性型,炎性乳腺癌。
 
诊疗经过
 
治疗方案:给予新辅助治疗,初始方案为:白蛋白紫杉醇400 mg+卡铂750mg+曲妥珠单抗(汉曲优)(首剂600 mg,后续450 mg),q21d,ivgtt,+吡咯替尼(400 mg,qd,po)。
 
因患者对吡咯替尼产生严重腹泻反应,出现难以纠正的水电解质紊乱,蒙脱石粉、洛哌丁胺、654-2片均无法缓解,吡咯替尼减量至每天240mg腹泻依然无缓解,治疗16天后终止口服吡咯替尼。
 
自第二疗程方案调整为:白蛋白紫杉醇400 mg+卡铂750mg+曲妥珠单抗(汉曲优)450 mg,q21d,ivgtt。
 
疗效评估:2疗程后,患者肿瘤明显减小,PR。
 
2022-07-08乳腺MRI报告:左乳上方象限病变可见明显强化,边界不清,大小约24mm×30mm×21mm(上下径×左右径×前后径),病变前缘距乳头约34mm,后缘距离胸壁约11mm。右乳约11点钟方向病变可见明显强化,边界不清,直径约9mm,病变前缘距乳头约50mm,后缘距离胸壁约32mm。左侧腋窝淋巴结肿大,最大直径约8mm。
 
图4.2疗程后患者左侧乳房肿物退缩明显,强化程度减低。
 
2022-07-08乳腺超声:左乳可见多处低回声结节,较大者位于12~1点钟,大小约20.6mm×6mm×18.3mm,距体表12mm,距乳头26mm,形态不规则,边缘成角,内回声不均匀,CDFI:内可及点状血流信号。左侧腋窝可见数个淋巴结回声,髓质消失,较大者大小约18mm×8mm,CDFI:内可见点状血流信号。右侧腋窝及双侧锁骨上窝未见明显肿大淋巴结。
 
图5.2疗程后可见患者左侧乳房肿物仅余核心部分,左腋窝淋巴结形态已接近正常。
 
4疗程后:患者肿瘤进一步缩小,PR。
 
2022-08-20乳腺MRI报告:左乳上方可见点灶状强化,以左乳约3点钟方向稍明显,直径约4mm。大小约24mm×30mm×21mm(上下径×左右径×前后径),病变前缘距乳头约34mm,后缘距离胸壁约11mm。左侧腋窝淋巴结肿大,最大直径约7mm。
 
图6.4疗程后患者左乳肿物轮廓不明显,左乳肿物及左腋窝淋巴结均无明显增强。
 
2022-08-20乳腺超声:左乳可见多处低回声结节,较大者位于12点钟,大小约11mm×7mm×11mm,距体表10mm,距乳头35mm,形态不规则,边缘成角,内回声不均匀。CDFI:内可及点状血流信号。左侧腋窝可见数个淋巴结回声,髓质消失,较大者大小约12mm×8mm。CDFI:内可见点状血流信号。右侧腋窝及双侧锁骨上窝未见明显肿大淋巴结。
 
图8 4疗程后,患者左乳肿物核心基本消失,淋巴结缩小至正常大小。
 
因4个周期治疗后,乳腺MRI及彩超显示靶病灶核心已不明显,临床疗效评估为CR,继续治疗缺乏可对比的靶病灶评估疗效,进行多学科会诊后,建议患者进行手术,患者同意手术治疗。
 
手术方式:左乳癌根治术,除常规手术范围外,另切除初次就诊时MRI所示水肿皮肤,术中清扫腋窝淋巴结过程中未见明显粘连,患者年轻皮肤延展性较好,充分游离周围皮瓣后顺利闭合创面。
 
图9.术中清扫第一、二站淋巴结。
 
术后病理:乳腺组织中未见浸润性癌或原位癌残留,可见间质纤维化/黏液样变、肉芽肿反应、淋巴细胞/组织细胞浸润,符合新辅助治疗后改变(Mi11er-Payne(MP)分级:5级);乳头(-),基底(-),皮肤(-),脉管侵犯(-),内上、内下、外下象限未见明确癌组织;腋窝淋巴结未见癌转移(0/18)。术后病理分期:ypT0N0M0;病理评估结果为pCR。
 
【有癌细胞无治疗后改变】:0个。
 
术后病理分期:ypT0N0M0
 
图10.术后病理瘤床处(左)与腋窝淋巴结(右)的低倍镜(上)与高倍镜(下)镜下均未见癌细胞残留,大量纤维组织增生,达到病理学完全缓解。
 
后续治疗方案:
 
1.术后区域放疗。
 
2.靶向治疗:继续曲妥珠单抗(汉曲优)靶向治疗至完成1年。
 
3.定期复查随诊。
 
病例小结
 
对HER2阳性乳腺癌进行新辅助治疗具有使肿瘤降期、优化手术治疗策略、获得预后指标病理缓解率的优点。临床治疗策略的选择是多样性的,个体化治疗方案需结合患者病情、经济情况、药物作用机制等多方因素综合考量制定。
 
相对于NCCN指南,我国指南的推荐方案还结合考虑了医保纳入情况等因素,更贴合我国国情。2022年CSCO指南中推荐用于HER2阳性乳腺癌新辅助治疗的抗HER2单抗包括:曲妥珠单抗及其生物类似药、伊尼妥单抗4。汉曲优为国内首个上市的曲妥珠单抗生物类似药,疗效与原研药相同,相对价廉,剂量规格多。我们在临床上观察到,相对于曲妥珠原研药,汉曲优的首次输液反应发生率极低,这可能与汉曲优中未添加防腐剂有关。综上,在为这位患者进行方案制定时,我们选择汉曲优作为抗HER2治疗的基石。
 
抗HER2治疗是HER2阳性乳腺癌治疗的基石,从作用机制而言,汉曲优用于HER2一线治疗已具备充分的循证医学证据,并具有输液反应发生率低、价廉等优点。在最新版的CSCO指南中,曲妥珠生物类似药已被列入作为“H”治疗敏感的HER2阳性乳腺癌Ⅰ级推荐用药。在药物经济学方面,结合我国的人均GDP,汉曲优和曲妥珠原研药的增量成本效果比(ICER)提示汉曲优的经济性更佳。汉曲优等国产抗HER2药物打破了原研药的垄断局面,150mg及60mg的不同规格也更符合我国患者体重,为我国患者带来了巨大的获益。
 
专家点评

1、HER2阳性乳腺癌患者新辅助治疗应及早进行抗HER2治疗
 
HER2是乳腺癌明确的预后指标和药物治疗效果的预测指标。针对该靶点的新药不断涌现,极大地改善了这个群体的预后。作为第一个靶向HER2的人源化单克隆抗体,曲妥珠单抗改变了HER2阳性乳腺癌患者的预后局面,影响了乳腺癌的诊疗模式,是乳腺癌药物治疗的重要突破。曲妥珠单抗生物类似药也已在国内上市,为我国乳腺癌患者提供了更多的治疗选择。根据2022年CSCO乳腺癌指南,乳腺癌术前新辅助治疗的适应证主要如下:肿块>5cm;腋窝淋巴结阳性;HER2阳性;三阴性以及有保乳意愿但是肿瘤大小与乳房体积比例大难以保乳的患者。对于HER2阳性乳腺癌新辅助治疗的选择,主要是以抗HER2的靶向治疗作为基础,然后辅以化疗。
 
基于NeoSphere和PEONY研究结果,目前NCCN、CBCS及CSCO指南在HER2阳性乳腺癌新辅助治疗方案中均推荐进行抗HER2双靶向治疗(曲妥珠单抗联合帕妥珠单抗)5,6,但“标准方案”给患者个体带来的具体临床获益并不等同于简单的统计学显著差异。NeoSphere研究中,对比曲妥珠单抗+多西他赛组,增加帕妥珠单抗使意向人群的pCR率提高了16.8%7。PEONY研究中,对比多西他赛+曲妥珠单抗组,增加帕妥珠单抗使意向人群的pCR率提高了17.5%6。而抗HER2治疗中,小分子TKI药物可在一定程度上逆转大分子单抗耐药性。在临床前实验中,二者联合可对HER2进行细胞膜外及细胞膜内的双重阻断,从而产生强大的抗肿瘤效果。
 
在吴炅教授牵头的PHEDRA研究中,对比曲妥珠单抗+多西他赛组,吡咯替尼的增加将意向人群的pCR率提高了19%,高于PEONY研究和NeoSphere研究中帕妥珠单抗所带来的pCR率的增加。并且这还是在入组患者相对于PEONY研究和NeoSphere研究的基线情况更差的情况下(PHEDRA研究中12.4%的患者肿瘤直径>5 cm,77%的患者淋巴结阳性)。因此我们认为,对此例分期较晚、淋巴结阳性的年轻患者的双重抗HER2治疗,“吡咯替尼联合曲妥珠单抗”的“胞外+胞内”方案较“妥妥”联合的“双胞外”方案更为适宜。但由于个体化差异,此例患者对吡咯替尼的腹泻反应严重而被迫终止该药物治疗,虽有遗憾,但却从另一方面验证了汉曲优单靶向治疗的卓越疗效。
 
因患者在接受两次“AT”方案化疗后乳房肿块进展,因此我们也重新为其进行化疗药物的选择。KRISTINE研究中HER2阳性乳腺癌患者使用含铂类药物进行新辅助治疗时疗效更佳(pCR率为56%)8。而GBG69研究结果显示在新辅助治疗中使用白蛋白紫杉醇比溶剂型紫杉醇获得的pCR率更高(38%vs 29%)因此,我们将该患者的化疗方案调整为“卡铂+白蛋白紫杉醇”,在进行了4个疗程的治疗之后,即已达到病理学的完全缓解,疗效满意。
 
2、曲妥珠单抗-汉曲优疗效显著,耐受性良好
 
曲妥珠单抗作为HER2阳性乳腺癌基石药物,在过去二十几年中,HER2阳性乳腺癌患者经历过“买不起药”的困境,后来曲妥珠单抗进入医保后,又遇到了“买不到药”的情况,现在,我们有自己民族企业开发的曲妥珠单抗了,极大地满足了临床用药的需求。汉曲优是首个国产曲妥珠单抗,《CSCO乳腺癌诊疗指南(2021版、2022版)》、《CSCO胃癌诊疗指南(2021版、2022版)》以及《中国抗癌协会乳腺癌诊治指南与规范(2021版)》先后将曲妥珠单抗生物类似药纳入相关推荐用药,为中国临床医生的规范化用药提供了重要的指导。本案例中采用的曲妥珠单抗即国产的曲妥珠单抗汉曲优,采用TCbHP新辅助治疗方案,术后病理达到pCR,获益显著,这为生物类似药的应用提供了很好的参考。
 
参考文献:
 
1.Sung H,Ferlay J,Siegel RL,et al.Global cancer statistics 2020:GLOBOCAN estimates of incidence and mortality worldwide for 36 cancers in 185 countries.CA Cancer J Clin.2021.
 
2.[Guidelines for clinical diagnosis and treatment of advanced breast cancer in China(2020 Edition)].Zhonghua zhong liu za zhi[Chinese journal of oncology].2020;42(10):781-797.
 
3.Kim TM,Yang IS,Seung BJ,et al.Cross-species oncogenic signatures of breast cancer in canine mammary tumors.Nat Commun.2020;11(1):3616.
 
4.Li J,Jiang Z.Chinese Society of Clinical Oncology Breast Cancer(CSCO BC)guidelines in 2022:stratification and classification.Cancer biology&medicine.2022;19(6):769-773.
 
5.Gianni L,Pienkowski T,Im YH,et al.5-year analysis of neoadjuvant pertuzumab and trastuzumab in patients with locally advanced,inflammatory,or early-stage HER2-positive breast cancer(NeoSphere):a multicentre,open-label,phase 2 randomised trial.The Lancet Oncology.2016;17(6):791-800.
 
6.Shao Z,Pang D,Yang H,et al.Efficacy,Safety,and Tolerability of Pertuzumab,Trastuzumab,and Docetaxel for Patients With Early or Locally Advanced ERBB2-Positive Breast Cancer in Asia:The PEONY Phase 3 Randomized Clinical Trial.JAMA oncology.2020;6(3):e193692.
 
7.Gianni L,Pienkowski T,Im YH,et al.Efficacy and safety of neoadjuvant pertuzumab and trastuzumab in women with locally advanced,inflammatory,or early HER2-positive breast cancer(NeoSphere):a randomised multicentre,open-label,phase 2 trial.The Lancet Oncology.2012;13(1):25-32.
 
8.Hurvitz SA,Martin M,Symmans WF,et al.Neoadjuvant trastuzumab,pertuzumab,and chemotherapy versus trastuzumab emtansine plus pertuzumab in patients with HER2-positive breast cancer(KRISTINE):a randomised,open-label,multicentre,phase 3 trial.The Lancet Oncology.2018;19(1):115-126.
 
病例作者简介
 
王楠
医学博士 郑州大学第一附属医院乳腺外二科主治医师
河南省抗癌协会乳腺癌分会青年委员
河南省健康科技学会乳腺专业委员会第一届委员
郑州大学第一附属医院青年工作委员会第一届委员
以第一作者发表SCI 文章6篇,核心期刊文章3篇,获发明型专利1项,获河南省科学技术成果两项、河南省科学技术成果奖1次
Frontiers in Oncology 客座编辑
主持河南省科技攻关联合共建项目1项
主持河南省科技攻关省部共建青年项目1项
参与河南省科技攻关联合共建项目1项
擅长乳腺癌的综合治疗、乳腺良性肿物的微创治疗及静脉港相关操作
 
尤伟 教授
河南省人民医院乳腺外科主任,主任医师,博士
硕士研究生导师
中国医师协会乳腺科专业委员会委员
中国研究型医院乳腺专业委员会常务委员
中国医促会乳腺专业委员会常务委员
河南省医院协会乳腺病管理与创新分会主任委员
河南省普外专业委员会副主任委员
河南省抗癌协会乳腺专业委员会副主任委员
河南省肿瘤诊疗质量控制专业委员会副主委副主任委员
河南省医师协会乳腺专业委员会副主任委员

本内容仅供医学专业人士参考


乳腺癌

分享到: 更多