当前位置:肿瘤瞭望>资讯>研究>正文

例精图治丨稳稳的幸福!一例多发转移HER2阳性乳腺癌患者通过T-DM1治疗再获新生

作者:肿瘤瞭望   日期:2021/11/16 11:19:01  浏览量:14923

肿瘤瞭望版权所有,谢绝任何形式转载,侵犯版权者必予法律追究。

T-DM1是国内外首款获批用于HER2阳性乳腺癌二线治疗及non-pCR术后辅助治疗的抗体偶联药物(ADC),在HER2阳性乳腺癌治疗的全程管理中发挥重要作用。本文报告了一例在早期(新)辅助治疗接受过抗HER2治疗发生肝、脑、骨转移的患者,改用T-DM1治疗,患者已获得超过10个月的PFS,肿瘤病灶达到部分缓解(PR)且安全性良好。该病例验证了EMILIA研究结果,在真实世界中展现了T-DM1作为标准二线治疗的积极疗效和安全性。

编者按:T-DM1是国内外首款获批用于HER2阳性乳腺癌二线治疗及non-pCR术后辅助治疗的抗体偶联药物(ADC),在HER2阳性乳腺癌治疗的全程管理中发挥重要作用。本文报告了一例在早期(新)辅助治疗接受过抗HER2治疗发生肝、脑、骨转移的患者,改用T-DM1治疗,患者已获得超过10个月的PFS,肿瘤病灶达到部分缓解(PR)且安全性良好。该病例验证了EMILIA研究结果,在真实世界中展现了T-DM1作为标准二线治疗的积极疗效和安全性。

 
病例报告
 
患者于XX,女,42岁。主因“乳腺癌综合治疗2年余,左侧胸部疼痛1月余”就诊。
 
2年余前因“发现右乳肿物”以“乳腺癌”入我院甲乳外科治疗。彩超:右乳头下方探及低回声,范围5.7cm×2.6cm×6.2cm,右腋窝内探及低回声,较大者2.0cm×1.0cm×1.7cm。查体:右乳可触及肿物,大小6cm×5cm大小肿物,右侧腋窝可扪及肿大淋巴结,大者2.0cm×1.0cm,边界尚清,活动度尚可。完善乳腺及腋窝淋巴结穿刺活检:浸润性导管癌,G2,ER(+),PR(+),Her-2(3+)。完善胸腹CT未发现转移灶。
 
入院诊断:右侧乳腺癌ⅢA(cT3N1M0)。
 
▌术前及手术治疗
 
患者肿块较大(>5cm)、腋窝淋巴结转移、HER2阳性。术前给予新辅助治疗,方案为:AC×4-TH×3,共完成7周期治疗。后行右乳癌改良根治术。
 
术后病理:(右侧)改良根治乳腺标本见乳腺浸润性导管癌,组织学分级Ⅱ级;乳头深处输乳管内查见癌累及;深切线未受累;检出腋窝淋巴结(0/22)及标记第三站淋巴结(0/4)内均未查见转移癌。免疫组化显示ER弱-中等阳性(阳性率约70%),PR强阳性(阳性率约70%),Her-2(3+),CK5/6(-),EGFR(-),P53(-),TOPOⅡ(2+),Ki-67阳性率约60%-70%。M&P分级2级。
 
术后诊断:右侧乳腺癌ⅡA(ypT2N0M0,ER/PR/HER2阳性)
 
▌术后辅助治疗:
 
患者后续完成TH×1,并行放疗(T5000cGy/25f)。放疗期间规律口服阿那曲唑内分泌治疗,并定期行戈舍瑞林治疗。并继续曲妥珠单抗治疗1年。1年前行双侧附件切除术。
 
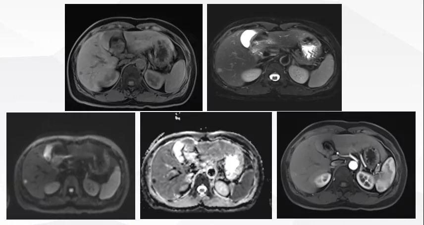
曲妥珠单抗辅助治疗结束6个月后,患者出现左侧胸部疼痛,ECT检查提示:左侧第4、5肋骨及T2胸椎转移;MR提示:T2椎体转移,肝S6段异常强化灶,考虑转移瘤可能性大;脑转移(图1)。
 
 
图1
 
为明确转移灶性质及ER、PR和HER2状态,患者进一步完善肝穿刺活检提示:(肝脏)送检穿刺肝组织肝小叶结构存在,肝细胞水肿较著,部分肝细胞脂肪变性,并可见细胞内淤胆,少量慢性炎细胞浸润。
 
患者拒绝进一步取病理活检及PET-CT检查。
 
▌晚期治疗:
 
患者初诊右侧乳腺癌ⅡA(ypT2N0M0),经辅助治疗结束后6个月发生脑、肝、骨多发转移,给予曲妥珠单抗+帕妥珠单抗+紫杉(THP)晚期一线治疗,并给予破骨细胞抑制剂支持治疗。
 
第1周期用药3-5天后出现白细胞减少,最低0.1x10^9/L,并伴发热症状,体温最高39.5℃,考虑粒缺性发热。恶心、呕吐较重,影响进食,考虑胃肠道反应Ⅲ级,虽给与四联止吐方案,患者进食仍受影响。患者不能耐受该方案,要求更换方案。
 
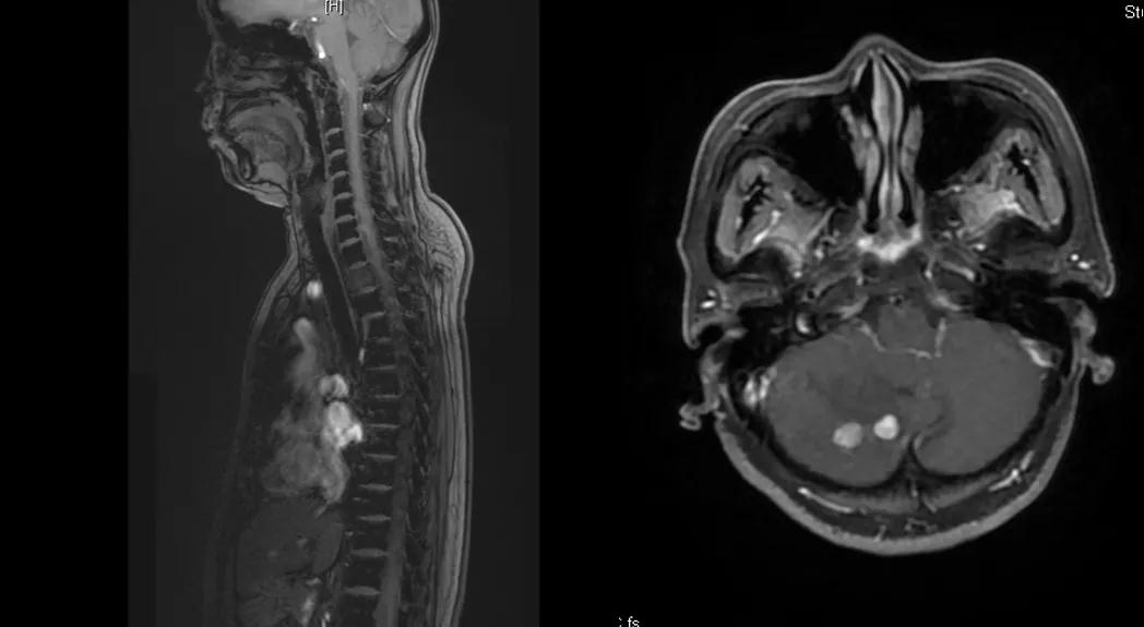
给予T-DM1治疗。治疗6个月后复查MR显示脑、肝、骨转移瘤均较前明显缩小,达到部分缓解(PR)(图2)。目前PFS已达10+个月。
 
 
图2
 
T-DM1治疗第6周期用药3-5天后出现血小板减少,最低80x109/L,未给予特殊处理,可自行恢复。
 
▌病例小结:
 
患者为ⅢA期(cT3N1M0)、三阳性乳腺癌,经AC-TH新辅助治疗达到降期(ypT2N0M0)。患者内分泌+抗HER2辅助治疗结束6个月时出现转移进展(脑、肝、骨),给予THP一线治疗,因无法耐受毒副作用而改为T-DM1,治疗6个月达到肝、脑、骨转移PR,患者目前中位PFS已超过10个月,T-DM1治疗过程中仅出现轻度CIT,且可自行恢复。
 
病例报告作者
 
 
杨志敏 教授
 
滨州医学院附属医院肿瘤科乳腺病区主治医师
 
山东省老年医学会肿瘤学分会委员
 
山东省医药教育协会放疗专业委员会委员
 
中国医药教育协会肿瘤化学治疗专业委员会青委会委员
 
病例点评
 
这是一例年轻的三阳性患者,初诊肿瘤体积较大、存在淋巴结转移,经过TH新辅助治疗实现了降期手术。患者在辅助治疗结束半年后发生肝、脑、骨多发转移。根据NCCN指南,晚期三阳性患者一线治疗应给予抗HER2+化疗治疗直至疾病进展或不可耐受毒性。在CLEOPATRA研究研究中,既往接受过(HR 0.62)或未接受过(HR 0.60)曲妥珠单抗治疗的患者,曲帕双靶一线治疗均可获益。然而,本例患者因无法耐受THP治疗的毒副作用而要求更换治疗方案,二线治疗T-DM1已经使患者获得超过10个月的PFS。
 
实际上,该患者是在抗HER2结束6个月发生复发转移的,提示其可能为原发耐药患者。按照KATHERINE研究,目前指南对未达pCR患者的术后治疗推荐是给予T-DM1强化辅助治疗;而对于原发耐药患者,晚期一线治疗也应该参考二线抗HER2方案。
 
众所周知,EMILIA研究奠定了T-DM1作为晚期HER2阳性乳腺癌二线治疗的标准地位。T-DM1相较于拉帕替尼+卡培他滨可显著延长患者PFS(9.6 vs 6.4,HR 0.65,P<0.001)和OS(30.9 vs 25.1,HR=0.682,P=0.0006),近期ESMO大会公布的亚洲人群OS更是达34.3个月,降低患者57.2%的死亡风险,亚组分析显示T-DM1的疗效不受HR状态的影响。EMILIA探索性分析表明,T-DM1单药治疗乳腺癌伴脑转移患者,OS长达26.8个月,较拉帕替尼+卡培他滨显著延长超1倍,降低死亡风险达61.8%。单臂、多队列的KAMILLA研究则是目前最大样本的T-DM1治疗队列研究,中位PFS和OS分别达到6.9个月和27.2个月,而且有43%的患者的脑靶病变减少≥30%,提示T-DM1在控制脑转移病灶中的积极疗效。
 
T-DM1的另一个突出优势是良好的安全性。纵观KRISTINE、MARIANNE、EMILIA、TH3RESA等早期或晚期治疗研究显示,T-DM1的不良反应发生率普遍低于以化疗为基础的联合治疗方案(表1)。
 
表1
 
本例患者接受T-DM1晚期治疗后,中位PFS已经超过10个月,治疗过程中仅出现轻度CIT反应,而且可自行缓解。其良好的疗效和安全性再次印证了EMILIA研究结果,T-DM1在临床实践中是晚期HER2阳性患二线治疗的标准方案。
 
病例点评专家
 
 
宁方玲 教授
 
滨州医学院附属医院肿瘤科主任医师、硕士生导师
 
山东省医学会肿瘤学委员会委员
 
山东省医学会姑息治疗委员会委员
 
滨州市医学会肿瘤放射治疗专业委员会副主任委员
 
滨州市医学会肿瘤学专业委员会副主任委员
 
山东省抗癌协会肿瘤免疫分会副主任委员
 
山东省医师协会肿瘤科医师分会委员
 
山东省抗癌协会淋巴瘤分会常委
 
往期推荐
 
 
 
 
 

本内容仅供医学专业人士参考


T-DM1

分享到: 更多