当前位置:肿瘤瞭望>资讯>快讯>正文

天津血液肿瘤高峰论坛 | 田晨教授:影像学检查在多发性骨髓瘤中的应用及预测价值

作者:肿瘤瞭望   日期:2017/11/24 17:43:22  浏览量:23376

肿瘤瞭望版权所有,谢绝任何形式转载,侵犯版权者必予法律追究。

编者按:2017年11月3~5日,由天津医科大学肿瘤医院承办的第四届天津血液肿瘤高峰论坛召开,此次高峰论坛的主题为“加强规范诊疗,推动临床研究”,聚焦当前血液肿瘤的诊疗热点,分析血液肿瘤基础及临床研究中面临的重点问题,促进血液肿瘤诊疗规范化、个体化、综合诊疗理念的发展。会上,天津医科大学肿瘤医院田晨教授针对多发性骨髓瘤影像学检查的应用及对预后判断的价值进行了精彩报告。本刊特邀田教授对本次报告的主要内容进行了综述,以飨读者。

田晨 天津医科大学肿瘤医院
 
多发性骨髓瘤是以浆细胞异常增生浸润骨髓并分泌过量单克隆免疫球蛋白为特点的浆细胞肿瘤。多发性骨髓瘤(multiple myeloma, MM)是血液系统第二大恶性疾病。MM患者主要表现为CRAB症状,即高钙血症、肾损害、贫血和骨病变。其中骨病变是最常见的症状,严重影响患者生活质量。
 
溶骨性破坏是区别症状性MM与意义未明的丙种球蛋白血症(MGUS)和冒烟型骨髓瘤(SMM)相鉴别的主要特征,70%~80%的患者在诊断时有溶骨性病变,90%的患者在疾病过程中出现溶骨性病变。国际骨髓瘤工作组(IMWG)提出有“SLiM”(骨髓单克隆浆细胞比例≥60%;受累/非受累血清游离轻链比≥100;MRI检查出现1处5mm以上局灶性骨破坏)或“CRAB”症状(高钙血症、肾功能损害、贫血、骨病变)的患者是需要积极治疗。
 
影像学检查是DS分期的标准之一,IMWG建议对大多数MM患者行影像学检查,因此,能够准确发现溶骨性病灶的存在及其范围的影像学检查,对于MM的分期和治疗是十分重要的。
 
MM骨病变的检测手段主要包括X线、CT、MRI和PET/CT。X线的敏感性和特异性较低,目前已不作为MM影像检测的推荐。CT对脊柱、胸廓、骨盆的溶骨性病变的敏感性高于X线,能够更好的评估骨折风险和脊柱压缩性骨折的稳定性,CT在检测溶骨性病变方面比X线有更高的敏感性,但辐射较大。最近推出来的全身低剂量CT具有普通CT的高敏感性和特异性,且辐射较小,费用低,已逐渐成为患者的选择之一,但在国内该检测手段尚未广泛开展。
 
天津市肿瘤医院血液科与放射科合作,开展了全身低剂量CT在多发性骨髓瘤中应用的临床试验,欢迎广大患者积极入组。MRI和PET/CT的敏感性和特异性均较高,且功能性成像可以反映肿瘤负荷与肿瘤细胞的代谢活性,是更为准确的检测手段,研究表明MRI和PET/CT上的变化均与实验室检查有一定关联,并可用于疗效评价等。MRI对软组织和骨髓的分辨率很高,是检测弥漫性骨髓浸润和压缩性骨折的最敏感的手段,MRI还可以区分骨质疏松的良恶性,以此来评估骨折风险,但MRI检查时间长,不能用于有幽闭恐惧症、金属物和假体的患者,对于整个骨骼系统的视野较局限。18F-FDG PET/CT虽然对脊柱的敏感性不如MRI,但具有可以在出现溶骨性病变之前就反映出新陈代谢的变化,能够直观地显示出肿瘤负担的优势。
 
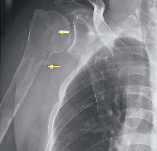
图1.X线显示MM患者的溶骨性病灶
 
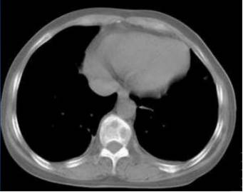
图2.CT显示MM患者脊柱的溶骨性病灶
 
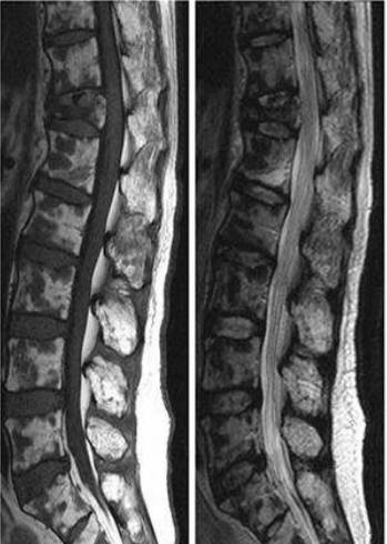
图3.MRI显示MM患者的脊柱病变(左T1,右T2)
 
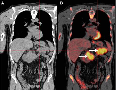
图4.PET/CT下的MM病灶

本内容仅供医学专业人士参考


血液田晨

分享到: 更多

相关幻灯