当前位置:肿瘤瞭望>资讯>正文

跨越140年的皮肤难题:一文读懂乳房「外」Paget病

作者:肿瘤瞭望   日期:2017/5/18 11:20:16  浏览量:27164

肿瘤瞭望版权所有,谢绝任何形式转载,侵犯版权者必予法律追究。

英国外科医生、病理学家James Paget爵士(1814-1899)与德国内科医生、生物学家、病理学家Rudolf Virchow(1821-1902)并称为现代医学病理学的奠基人。

编者按:英国外科医生、病理学家James Paget爵士(1814-1899)与德国内科医生、生物学家、病理学家Rudolf Virchow(1821-1902)并称为现代医学病理学的奠基人。前者的名字伴有“Paget病”作为纪念,后者的名字有响当当的“Virchow淋巴结”以表尊敬。

 
1874年,James Paget爵士首次描述了女性乳头乳晕周围皮肤湿疹样改变与乳腺癌的关系,自此乳腺Paget病正式登上医学界舞台。
 
在骨科领域,1877年James Paget爵士描述了Paget骨病,即畸形性骨炎。
 
随后,1889年Crocker医生报道了首例乳房外Paget病,病变侵犯阴囊和阴茎;1901年Dubreuilth医生首次报道了外阴Paget病。

 
“Paget病”其实是一组疾病,乳房外Paget病通常累及患者的生殖器、肛周和腋窝皮肤,临床表现与乳腺Paget病近似。近期,《新英格兰医学杂志》(New England Journal of Medicine)发表了一例典型的乳房外Paget病病例,让我们一起长长见识。

病例回顾
 
89岁老年男性,双侧腹股沟难愈性皮疹1年,无疼痛或瘙痒。继往经验性治疗无效,包括口服/外用抗生素,外用抗真菌药物和糖皮质激素。
 
▲体格检查发现患者腹股沟和阴囊皮损处为大片红色斑块,中央可见渗出糜烂,表面覆白色鳞屑或结痂(图A)。
 
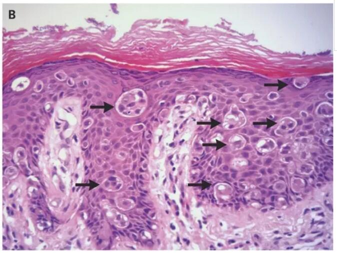
▲受累皮肤组织切取活检可见表皮下有典型的Paget细胞浸润,细胞大,呈圆形或椭圆形,胞浆嗜酸性,核突出,核仁明显(图B箭头所指)。 
 
▲免疫组化染色显示细胞角蛋白CK7和CAM5.2阳性。
 
该患者诊断为乳房外Paget病,治疗选择包括放疗、光动力治疗、局部免疫调节剂和手术。经过讨论后,考虑到皮损无症状且肿瘤生长缓慢,患者进行常规监测。最终患者在确诊12个月后因其他原因死亡。

乳房外Paget病
 
Paget病(非Paget骨病)是一种临床上较为少见的皮肤恶性肿瘤,通常累及人体大汗腺分布的区域,根据肿瘤细胞即Paget细胞累及的部位—乳房和乳房外皮肤区域(如外生殖器和肛周等),可将该病分为乳房Paget病(Mammary Paget’s Disease, MPD)和乳房外Paget病(Extramammary Paget’s Disease, EMPD)。
 
乳房外 Paget 病又称乳腺外湿疹样癌,是一种罕见的皮肤恶性肿瘤。该病通常累及患者的外阴和肛周,也可发生于阴囊、阴茎和腋窝皮肤,而在其他部位罕见,如面部、膝、腹部、远离乳房的前胸和食管。主要临床表现为皮肤湿疹样改变,可有瘙痒、红肿、出血等炎性症状,容易误诊为湿疹、牛皮癣或真菌感染。
 
鉴别诊断
 
乳房外 Paget 病的鉴别诊断除了注意临床及组织学特点外,必要时还可采用免疫组化染色进行鉴别。EMPD的免疫组化表型主要为:CAM5.2+、EMA+、CEA+、CK7+、MUC1+、S100-、HMB45-;若CK20阳性,则需考虑转移性腺癌可能。
 
▲浅表型恶性黑素瘤为:S100+、HMB45+、CAM5.2-、EMA-、CEA-。
 
▲原发性皮肤T细胞淋巴瘤往往T细胞标识物(CD3、UCHL-1)阳性。
 
▲Paget样Bowen病为:CAM5.2-、CK7-。
 
▲Toker细胞增生呈MUCI-、CK7+。
 
▲光线性角化病、基底细胞癌呈Claudin-,而在Paget病为Claudin+。
 
有研究发现,乳腺Paget病与乳房外 Paget 病中CD5呈弥散性表达,而在类似Paget病的Bowen病、表皮内皮脂腺癌、原位黑素瘤中无CD5表达。
 
手术治疗
 
乳房外Paget病的治疗包括手术治疗和非手术治疗。
 
局部扩大切除术:目前仍是乳房外Paget病患者的首选。由于病变皮肤边界不规则且不清楚,所以切除范围很难确定。从预后看,因皮损边界不清以及肿瘤细胞浸润,手术结果通常不尽如人意,复发率高达20%~60%。
 
确定合理的手术切缘预留范围,既需要尽可能清除病灶又要考虑术后创面大,丧失部分功能、需要皮瓣修复等所带来的弊端。推荐的预留范围在1cm~5cm之间,有研究显示当预留手术边缘达5cm时,可清除97%的肿瘤细胞。
 
乳房外Paget病肿瘤边界的确定除了术前活检,还有近年应用较多的免疫组化法、反射式共聚焦显微镜、荧光法等。
 
MMS切除(Mohs micrographic surgery):该手术方式不仅能确保完全切除且又尽可能地保留正常皮肤。在手术切除肿瘤前,先刮除病变组织,包括肿瘤的增生组织、坏死组织、痂等,初步确定肿瘤范围,然后距刮除缺损外1 ~ 3 mm用手术刀切除组织,包括肿瘤周边及深部组织,并进行标记定位,标本进行冰冻切片检查,若肿瘤未切除干净,于该标记处向外扩大切除,直至组织病理切片中无肿瘤细胞。
 
MMS是对单一浸润灶皮肤肿瘤手术的首选治疗,但MMS在乳房外Paget病治疗中的应用尚存争议,目前并未将其作为首选治疗。
 
淋巴结清扫:对于乳房外Paget病患者是否需要进行淋巴结清扫尚无统一的看法。有学者认为淋巴结清扫需根据肿瘤浸润深度及临床或活检是否有淋巴结转移。对于乳房外Paget病原位癌和侵犯真皮乳头层患者,若未发现淋巴结转移,则不必行淋巴结清扫。
 
对于侵犯真皮网状层和皮下组织者,即使未发现淋巴结转移,应根据肿瘤侵犯深度,选择性的清扫淋巴结。当患者临床出现淋巴结转移或活检证实淋巴结转移时,应行腹股沟淋巴结清扫。
 
术后皮肤缺损的修复:手术后皮肤缺损较小,可直接缝合;若皮肤缺损较大,可行游离植皮、旋转皮瓣、推进皮瓣等治疗。

非手术治疗
 
主要包括放射治疗、化学治疗、免疫调节剂的应用、光动力治疗、分子靶向治疗等。
 
放射治疗:目前主要用于有手术禁忌的患者以及作为术后的辅助治疗。对于放射治疗的适应证及放射剂量并无统一规定。
 
化学治疗:适用于合并内脏恶性肿瘤、出现远处转移或不可行手术治疗的EMPD患者;也可作为乳房外Paget病患者的术后辅助治疗。化疗治疗同放射疗法一样,研究仅限于个例报道。常用的化疗药物有顺铂、5-FU、丝裂霉素C、多西他赛、紫杉醇、表阿霉素等。
 
免疫调节剂治疗:免疫调节剂主要适用于复发、多次行手术治疗以及不能行手术治疗的乳房外Paget病。用于治疗的免疫调节剂主要是 5%咪喹莫特乳膏,但其疗效尚不确定。
 
光动力治疗:可作为乳房外Paget病的单一治疗手段或术后的辅助治疗,适用于老年、复发以及皮损较大的患者。
 
分子靶向治疗:用于乳房外Paget病的分子靶向治疗的药物有尼美舒利和曲妥珠单抗。但仍处于探索阶段。
 
乳房外Paget病是好发于老年患者的皮肤肿瘤,具有进展缓慢、早期诊断困难及复发率高的特点,需要长期随访。如果病灶仅局限于皮肤为原位腺癌,则局部广泛手术切除即可,预后良好;如果瘤细胞浸润到真皮,成为皮肤腺癌,则预后往往不佳。
 
总体来看,CEA水平升高、侵袭性、淋巴结转移、伴发肿瘤或远处转移者预后差。可疑患者需尽早行皮肤及肿大淋巴结活检,免疫组化染色可提高诊断率。
 
文献参考:
1. Sarah H.et al. N Engl J Med 2017; 376:e35April 27, 2017DOI: 10.1056/NEJMicm1610755.
2. en.wikipedia.org/wiki/James_Paget
3.徐莹莹,等.国际皮肤性病学杂志,2017,43(1):10-13.
4.聂廷芬,等.国际皮肤性病学杂志,2007,33(5):308-310.
5.胡红华,等.中国皮肤性病学杂志,2011,25(08):609-612. 2011,25(08):609-612.

本内容仅供医学专业人士参考


James Paget爵士外阴Paget病Virchow淋巴结

分享到: 更多