当前位置:肿瘤瞭望>资讯>快讯>正文

[病例]阿帕替尼联合化疗二线治疗晚期胃癌的病例分享

作者:肿瘤瞭望   日期:2016/7/7 10:17:36  浏览量:22838

肿瘤瞭望版权所有,谢绝任何形式转载,侵犯版权者必予法律追究。

编者按:晚期胃癌患者二线可选择的药物有限,阿帕替尼作为我国首个抗血管生成的靶向药物在晚期胃癌患者中有一些治疗探索。今天我们为大家分享一例来自上海交通大学医学院附属仁济医院胃肠外科赵刚教授的阿帕替尼联合化疗用于晚期胃癌二线治疗的病例分享,希望给晚期胃癌患者的临床治疗提供一定的借鉴和思考。

 
病例介绍
 
  患者吴XX,女,66岁。因“中上腹隐痛不适半年余”入院。外院胃镜提示:胃体后壁巨大溃疡灶,病理活检示“印戒细胞癌”。肿瘤标志物CEA、CA199、AFP均在正常范围内。
 
图1 患者治疗期间肿瘤标志物的变化情况
 
治疗过程
 
  手术
 
  2010年12月27日,患者接受了胃癌根治术(全胃切除,D2淋巴结清扫,食道空肠R-Y吻合)。术后病理示:“胃小弯侧”印戒细胞癌,弥漫浸润型,大小5×4×1.5cm,侵及全层。“上下切缘”、网膜、小弯淋巴结(0/15)、大弯淋巴结(0/6)、“第1组淋巴结”(0/1)、“第8组淋巴结”(0/2)、“第10组淋巴结”(0/2)、“第11组淋巴结”(0/1)均为阴性。最终分期为pT4aN0M0,IIB期。
 
  术后辅助治疗与门诊随访
 
  患者于术后接受了XELOX方案六个疗程的规律化疗并定期随访。化疗耐受情况可,未出现明显骨髓抑制,未见手足综合症,随访期间患者日常生活不受影响。辅助治疗结束后患者一直于门诊规律随访。
 
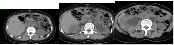
  至术后第4年即2014年10月14日,患者主诉腰酸不适、尿量减少、低热、胃纳下降且体重较前明显减轻。肿瘤标志物CEA、CA199、AFP均较前增高。腹部CT示:1.胃癌术后改变:吻合口显示欠清。2.双肾积水,考虑双侧输尿管中下段存在梗阻,原因尚待明确。3.后腹膜及右侧髂血管旁可疑多发肿大淋巴结。PET-CT示:1.胃癌术后腹膜广泛转移,致双侧输尿管中下段梗阻,双肾积水。2.腹主动脉及髂血管旁多发转移淋巴结。
 
图2 2014年10月,术后第4年的腹部CT
 
  一线治疗——DCF方案化疗
 
  首先请泌尿科行双侧D-J管置入以改善肾功能。考虑之前患者已行6次XELOX方案辅助化疗,现病情稳定至术后4年,依据指南建议调整方案,予以DCF方案三个疗程。化疗耐受可,未出现明显骨髓抑制,未见手足综合症,期间患者生活基本不受影响,诉偶感乏力,腰酸症状缓解。
 
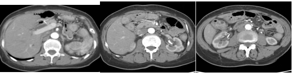
  2015年1月9日复查CT示:1.“胃癌术后”改变,食管空肠吻合口下游局部肠壁增厚。腹腔大网膜区域、肠系膜和腹主动脉旁散在淋巴结。结肠肝曲至脾曲肠壁广泛增厚。2.比较治疗前,后腹膜肿瘤浸润表现及淋巴结肿大并没有明显改善。同时,肿瘤标志物较前仍有不同程度升高。
 
图3 2015年1月9日,三疗程DCF方案化疗后的腹部CT
 
  二线治疗——DCF+阿帕替尼
 
  由于患者经一线治疗后的评估显示肿瘤标志物较前上升,肿瘤控制情况欠佳。患者平素无高血压及肾病病史,遂于2015年2月起予以DCF方案联合阿帕替尼850mg口服。用药期间患者基本可耐受,无明显手足综合症,血压处于正常范围。但2个疗程后骨髓抑制明显(WBC 2.45×10^9/L, PLT75×10^9/L, Hb 104 g/L)。考虑到骨髓抑制主要来自化疗药物的毒性反应,故停用化疗,继续单药阿帕替尼原剂量维持治疗。
 
  2015年4月1日复查CT:1.“胃癌术后”改变,食管空肠吻合口下游局部肠壁增厚。腹腔大网膜区域、肠系膜和腹主动脉旁散在淋巴结。部分结肠肠壁稍增厚。2.双侧尿路D-J管留置,肾周和输尿管周围少量渗出。CA199与AFP较前下降,CEA仍有所升高。
 
图4 2015年4月1日二线治疗后的腹部CT
 
治疗小结
 
  虽然该患者肿瘤的影像学变化不大,但肿瘤标志物均有所下降。总体疗效评估为SD。目前仍在阿帕替尼850mg口服维持中,化疗反应可耐受,日常生活不受影响。经过治疗,患者体重较6个月前增加了4kg。
 
治疗体会
 
  血管生成在胃癌的发生发展中起重要作用。与正常人群相比,VEGF-A、VEGFR在胃癌患者中的表达明显增高。阿帕替尼与同类小分子酪氨酸激酶抑制剂相比,对VEGFR-2具有高度选择性,其对VEGFR2的活性较VEGFR1强35倍。该病例提示我们,阿帕替尼对于部分晚期胃癌患者能起到延缓肿瘤生长,提高生活质量的效果,且其用药基本安全,联合用药在患者可耐受的前提下,阿帕替尼最大耐受剂量(850 mg)可使患者明显获益。
 
  关于阿帕替尼的临床应用,仍有以下问题有待探索:⑴对于预计生存时间不够理想的晚期胃癌患者,用药时机能否适当提前;⑵阿帕替尼最佳联合化疗方案的确定:DCF、SOX还是S-1单药。⑶阿帕替尼在术前新辅助治疗和转化治疗中的价值;⑷如何找到更为精准的标靶人群,从而提高用药有效率。

本内容仅供医学专业人士参考


胃癌

分享到: 更多