[CGCC2016]北京大学肿瘤医院一例无功能型NEN诊疗经验分享

作者:肿瘤瞭望   日期:2016/5/17 13:35:11  浏览量:28234

肿瘤瞭望版权所有,谢绝任何形式转载,侵犯版权者必予法律追究。

编者按:神经内分泌肿瘤(NENs)是一种罕见的肿瘤,可以发生于全身各个部位,一直以来对于这个瘤种的研究都集中在欧美国家,近些年国内学者逐渐开始关注。北京大学肿瘤医院消化内科从2009年开始了对神经内分泌肿瘤的诊治和研究工作,为了缩小与欧美国家的差距,随后该院各相关专业,包括病理、核医学、外科、介入科、影像科加强了相互协作,于2013年在医院消化内科沈琳教授的支持下,由消化内科李洁教授牵头正式成立了北京大学肿瘤医院神经内分泌肿瘤多学科协作组。多学科协作组成立以来,充分发挥专科医院各相关专业均衡发展的优势,密切协作,临床工作中让患者获得最大益处的同时,各专科也获得更好的发展和提高,科研方面也通过前期的积累,逐渐与国际接轨。

李洁 北京大学肿瘤医院

  编者按:神经内分泌肿瘤(NENs)是一种罕见的肿瘤,可以发生于全身各个部位,一直以来对于这个瘤种的研究都集中在欧美国家,近些年国内学者逐渐开始关注。北京大学肿瘤医院消化内科从2009年开始了对神经内分泌肿瘤的诊治和研究工作,为了缩小与欧美国家的差距,随后该院各相关专业,包括病理、核医学、外科、介入科、影像科加强了相互协作,于2013年在医院消化内科沈琳教授的支持下,由消化内科李洁教授牵头正式成立了北京大学肿瘤医院神经内分泌肿瘤多学科协作组。多学科协作组成立以来,充分发挥专科医院各相关专业均衡发展的优势,密切协作,临床工作中让患者获得最大益处的同时,各专科也获得更好的发展和提高,科研方面也通过前期的积累,逐渐与国际接轨。

  为了进一步推动神经内分泌肿瘤的诊疗进展,本届全国胃癌大会5月14日14:40~16:20国家会议中心(CNCC)307A设有神经内分泌瘤专场,北京大学肿瘤医院前期做了大量的准备工作,付出了辛勤的汗水。李洁教授在本会场中为我们分享了一例无功能型原发不明NEN的诊疗经验,供大家交流学习,希望给NET的临床治疗一定的启迪。

病例介绍

  患者女性,81岁,2013年8月常规体检超声发现肝内多发占位,未进一步诊治。2013年11月查腹部CT提示肝多发转移瘤可能性大,腹腔肿大淋巴结,左肾上腺结节,腺瘤可能。2013年12月11日18F-FDG-PET/CT提示肝内多发高代谢病灶;胃窦部胃壁增厚,代谢增高;胃周、腹主动脉旁多发肿大淋巴结,代谢增高不明显。胃镜:慢性浅表性胃炎。2014年01月07日肝内病灶穿刺活检,病理:分化好的神经内分泌肿瘤,免疫组化:Syn(+),CgA(+),CD56(+),Ki67(+5%)。2014年01月20日99mTc-奥曲肽受体显像提示肝内多发SSR阳性病灶,考虑转移性神经内分泌肿瘤。患者无潮红、腹痛、腹泻等症状。

  初步诊断:肝脏转移性高分化神经内分泌肿瘤,G2,无功能型,原发不明

  既往史:II型糖尿病;房颤射频消融术后;二尖瓣狭窄替换术后

 

诊疗经过:

  2014年01月21日至2014年4月25日长效奥曲肽20mg/次,肌肉注射,每4周一周期,连续注射4周期。2014年5月20日复查腹部增强CT提示肝内部分病灶稍有增大,建议患者全身化疗或局部介入治疗,患者拒绝,服用中药治疗。

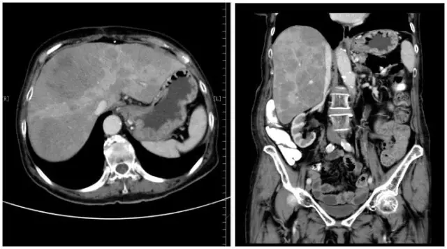
  2014年8月复查CT提示肝内病灶继续进展(图1),2014年8月08日99mTc-奥曲肽受体显像提示肝内多发SSR阳性病灶,右腹部偏腹侧SSR阳性病灶,考虑小肠来源NEN 可能性大(图2)。

图1. 2014-8-07腹部增强CT:肝脏体积明显增大,实质内弥漫分布大小不等低密度结节及肿块,部分融合,增强扫描均呈不均匀低强化,最大约82 mm x61mm。考虑转移性。腹腔及腹膜后未见肿大淋巴结。

图2. 99mTc-奥曲肽受体显像(2014-8-08)

多学科讨论

  根据现有检查结果,如要查明原发病灶是否为小肠来源,需要小肠镜检查,但患者高龄,既往伴随疾病较多,不适宜此种检查;CT提示肝内多发病灶,Ki67为5%,但无手术减瘤指征;肝内病灶负荷较大,单纯药物治疗恐难控制,可先考虑肝动脉介入栓塞(TAE)治疗,同时予以全身药物治疗,但考虑安全性问题,可给予生长抑素类似物(SSA)。2014年8月12日行TAE治疗1次,2014年8月13日起长效奥曲肽30mg/次,每4周一周期,治疗3周期,并于2014年10月14日再次TAE治疗,治疗后患者无明显不良反应。2014-11月27日复查CT评效SD。

  此后继续长效奥曲肽治疗,2015年8月18日起调整为40mg/次,给药间隔同前,期间于2015年3月03日、2015年7月28日、2015年11月13日肝动脉介入栓塞化疗(TACE)共3次,TACE后出现恶心、呕吐、食欲下降等不良反应,对症治疗后症状持续1周可缓解。期间定期复查影像学提示肝内病灶稳定或略有增大,总体肿瘤缓慢进展。末次长效奥曲肽治疗时间2016年5月3日。已预约继续TAE治疗。

  目前患者觉轻度乏力,偶有恶心,食纳可,体重稳定。KPS 评分90分。

 

治疗小结

  神经内分泌肿瘤(NEN)以是否有激素分泌引起相关临床症状分为功能型和无功能型。原发不明神经内分泌肿瘤,诊断、治疗都存在很多困难,目前18F-FDG-PET/CT 和68Ga-PET/CT可能是明确原发病灶的较好检查手段,但68Ga-PET/CT国内开展的中心较少。治疗方面,如无法确定原发病灶,可按转移灶的Ki67指数进行治疗,G1/G2者可采用SSA、靶向药物等,NEC则首选化疗。伴发肝转移者,联合局部治疗(TAE、射频消融等)是有效的治疗手段。

  本例为高龄患者,诊断原发不明肝转移性NEN G2无功能型,在无法进一步检查明确原发病灶的情况下,予以SSA联合TAE治疗肿瘤获得较好控制,且生活质量未受明显影响,生存时间已超过2年。

 

本内容仅供医学专业人士参考


NENs无功能型诊疗经验

分享到: 更多